Image
Index cave
13.06.2024

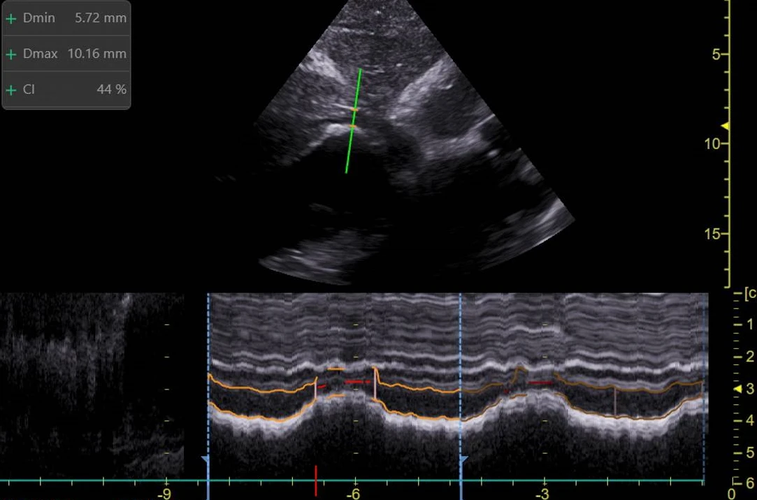
La mesure du diamètre de la veine cave inférieure (VCI) et sa variabilité respiratoire est utilisé pour estimer le volume intravasculaire d’un·e patient·e. Dans l’état de choc, cette estimation aide la ou le clinicien·ne à prédire la réponse au remplissage.

Comme il n’y pas de valve entre la VCI et l’oreillette droite, le diamètre et la variation du diamètre de la VCI est parfois considérée comme un reflet de la pression dans l’oreillette droite (POD). La variation respiratoire de la VCI est aussi appelée index de collapsus ou index cave (CI sur l'image). Il est exprimé en pourcent et obtenu en divisant le plus petit diamètre par le plus grand. Chez la ou le patient·e qui respire spontanément, le diamètre de la VCI diminue à l’inspirium à cause de l’augmentation du volume thoracique qui réduit la pression intra-thoracique. Au contraire, chez la personne ventilée mécaniquement, la pression intra-thoracique augmente en phase d’inspiration, faisant augmenter le diamètre de la VCI à quelques centimètres de son arrivée dans l’OD.

La veine cave inférieur est mesurée dans son axe longitudinal, le plus souvent en sous-xyphoïdien. Le diamètre devrait être mesuré à environ 2cm (ou plus) de l’OD. Le mode M permet de mesurer facilement la variabilité respiratoire de la VCI.

Alors que certaines études ont montré une corrélation entre l’index cave et la pression veineuse centrale, les études sur la performance de l’index cave pour la prédiction de la réponse au remplissage sont très hétérogènes, les résultats diffèrent selon le setting (urgences, soins intensifs, bloc opératoire) et le contexte (médical vs chirurgical). La sensibilité varie de 0.39 (95% CI: 0.23-0.57) à 0.86 (95% CI: 0.71-0.95) et la spécificité de 0.28 (95% CI: 0.18-0.41) à 0.91 (95% CI: 0.72-0.99).

Chez des patient·es non chirurgicaux aux urgences et soins intensifs, un cutt off pour l’index cave de 25% permettrait de prédire la réponse au volume avec une sensibilité de 0.87  [0.76, 0.94] et specificité de 0.81 [0.69, 0.90], likelihood ratios (LRs), LR + 4.56 [2.72, 7.66], LR- 0.16 [0.08, 0.31]).

Toutefois, l’index cave peut-être modifié par différents facteurs confondants : efforts respiratoires, hypertension pulmonaire, insuffisance valvulaire, dysfonction ventriculaire droite, technique ultrasonographie entre autres. Il devrait donc être interprété avec prudence et intégré à d’autres éléments cliniques et paracliniques pour répondre à la question de la volémie et de la réponse au remplissage.

Image proposée par Perrine Truong, CHUV.