Image
Analyse de radio­­graphie du thorax
08.12.2022

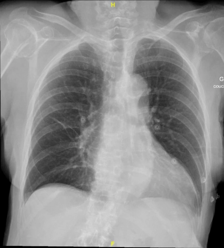
Madame X est une patiente de 89 ans, connue pour une démence, qui se présente aux urgences avec une baisse de l’état général depuis une semaine. Elle décrit une dyspnée d’effort et une légère toux. Le reste de l’anamnèse par système est non contributive, elle ne rapporte notamment pas de chute récente. L’examen clinique n’est pas relevant hormis une désaturation à 91% à l’air ambiant. Le bilan biologique révèle un syndrome inflammatoire, une absence de cinétique des troponines, des D‑dimères dans la norme pour l’âge et un NT-pro-BNP dans la norme. L’ECG ne montre pas de modifications. La radiographie (Rx) du thorax ne révèle pas de signe de surcharge ni d’infiltrat mais elle révèle autre chose : une fracture multi-fragmentaire sous capitale de la tête humérale à droite.

Peu importe finalement l’analyse choisie pour une radiographie du thorax, ce qui est indispensable, c’est que l’observation soit systématique. La description de la Rx dans son ensemble est fondamentale pour la prise en charge d’un·e patient·e.

Proposition de check list :
• Bon·ne patient·e, bonne image
• Qualité du cliché (Symétrie, pénétrance, centrage, inspiration, Debout/​couché)​
• Analyse de la Rx sous le format ABCDEF :
◦ A : Airways (Voies aériennes)
◦ B : Bones (Os)
◦ C : Cardiomediastinal silhouette
◦ D : Diaphragm
◦ E : Extended Lungs/​Everything else (Tout le reste)
◦ F : Foreign bodies (Corps étranger)