Image
L'US de l'épan­chement pleural
17.10.2024

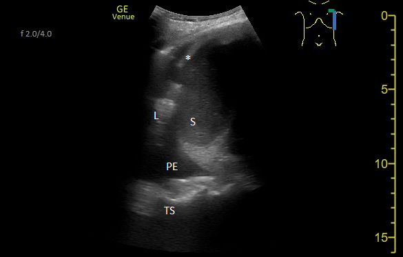
Un patient de 90 ans connu pour une insuffisance cardiaque chronique d’origine rythmique et ischémique se présente aux urgences en raison d’une fatigue et une dyspnée d’effort s’aggravant depuis plusieurs jours, malgré la majoration de son traitement diurétique.  L’examen clinique est dans la norme, hormis une légère hypertension à 153/85mmHg et la présence d’œdèmes des membres inférieurs. L’électrocardiogramme retrouve une fibrillation auriculaire à 63/min et un hémibloc antérieur gauche connus. Au bilan sanguin, il n’y a pas de syndrome inflammatoire ni d’ischémie myocardique, l’hémoglobine est abaissée à 100 g/L (anémie microcytaire connue et stable) et le NT-proBNP s’élève à 3'000 ng/L (N < 300). La radiographie pulmonaire effectuée en position semi-assise n’est pas conclusive (absence de franc signe de surcharge ou épanchement visualisé, micro-infiltrats éparses sus-diaphragmatique bilatéral sans signe de la silhouette).

Une échographie pleuro-pulmonaire ciblée est effectuée. On visualise cette image en région thoracique latéro-postéro-basale gauche :