Image
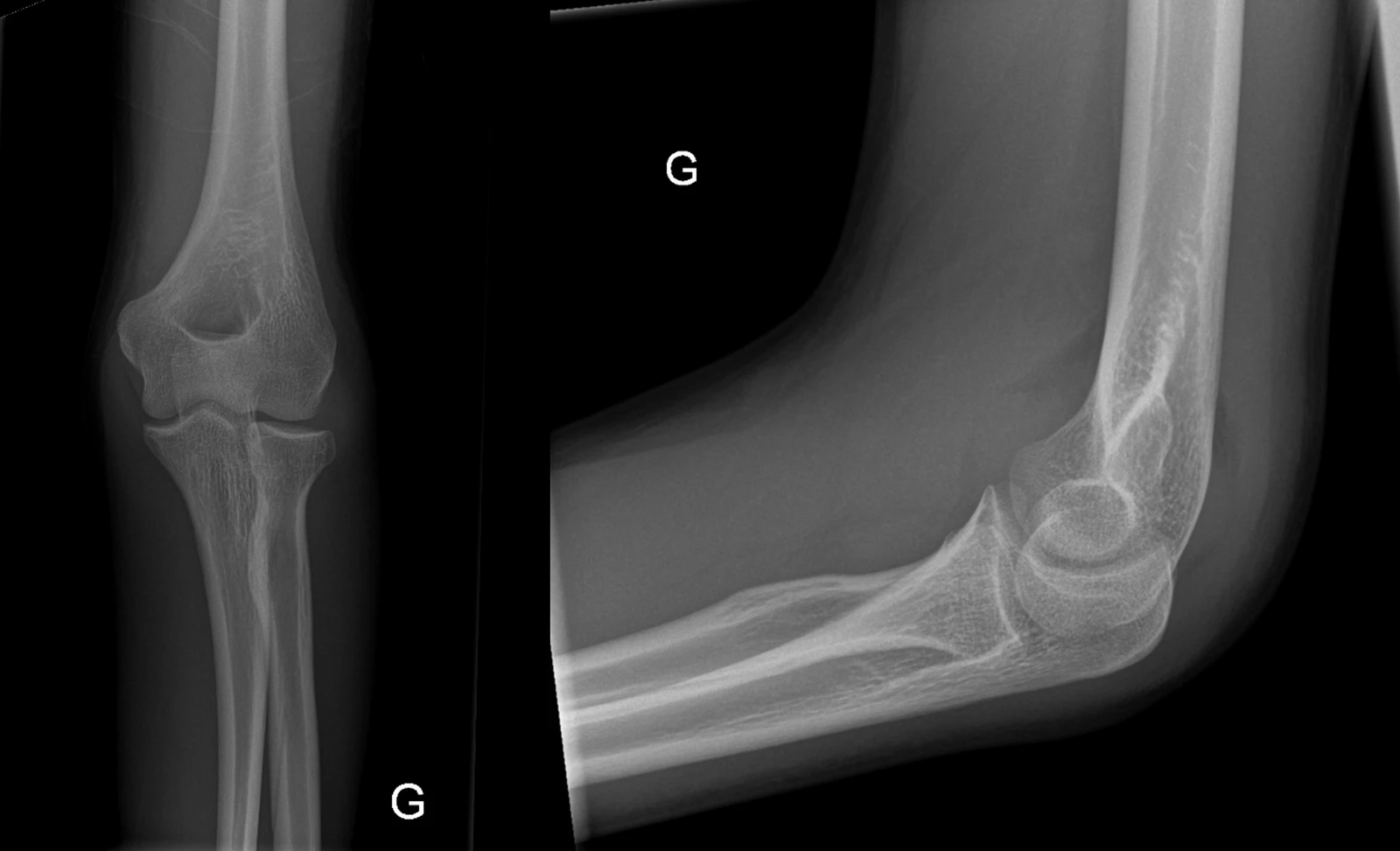
Fat pad sign
05.01.2023

Le fat pad sign ou « signe de la voile » peut se retrouver sur une radiographie du coude. Il signe la présence d’un épanchement qui peut être post-traumatique ou consécutif à un processus inflammatoire ou infectieux au niveau articulaire. L’anamnèse ainsi que les examens biologiques aident à orienter le clinicien sur l’étiologie.

Les structures adipeuses présentes dans les fosses radiale, coronoïde et olécranienne sont intracapsulaires mais extrasynoviales. Elles sont radiotransparentes contrairement au muscle m. brachialis qui se situe antérieurement et au m. anconé et tendon tricipital qui se situent postérieurement. Lors d’un épanchement, la capsule articulaire se distend et déplace ces structures adipeuses créant le déplacement de la radiotransparence antérieure ou l’apparition d’une radiotransparence postérieure (fat pad sign positif).

Le fat pad sign peut être antérieur, postérieur ou les deux. La présence d’une radio-transparence antérieure est souvent normal. En revanche, un fat pad sign positif i.e. une surélévation de la radio-transparence antérieure ou la présence d’une radio-transparence postérieure doit toujours être considéré comme pathologique.

En cas de traumatisme rapporté lors de l’anamnèse, la présence de ce signe fait suspecter une fracture d’un ou plusieurs os de l’articulation du coude. La fracture n’est parfois pas visible mais suspectée selon la clinique. Chez l’adulte, il s’agit fréquemment d’une fracture de la tête radiale comme chez ce patient de 16 ans qui est tombé à moto et présentait une douleur au coude à l’extension ainsi qu’à la pro-supination. Une fracture de la tête radiale type I selon la classification de Mason a été retenue et traitée par bretelle et traitement antalgique standard.

Chez l’enfant, c’est le plus souvent une fracture humérale qui doit être recherchée.