Image
Tumeur vésicale
30.03.2026

Un patient de 83 ans, aux antécédents d'insuffisance rénale chronique, de diabète de type 2, d'hypertension artérielle, de fibrillation auriculaire paroxystique et porteur d'un pacemaker, consulte aux urgences pour un épisode de frissons intenses accompagnés de fièvre et de vomissements. Le patient rapporte également des douleurs inguinales droites transitoires apparues lors des frissons, sans irradiation testiculaire.

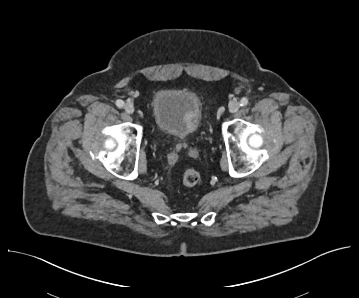
L'examen clinique révèle état fébrile à 38.7°C, une sensibilité abdominale diffuse avec une légère défense en fosse iliaque droite et un signe de McBurney positif. L’épididyme droit est également douloureux. Le bilan biologique montre une hyperleucocytose à 15 G/L et une CRP à 8,6 mg/L. L'examen d'urine objective une leucocyturie importante avec bactériurie. Une ultrasonographie bedside de la vessie met en évidence une masse intravésicale exophytique de 2 cm sur la paroi latérale confirmée par un scanner abdominal (cf. image).

Le diagnostic retenu est une infection urinaire compliquée, associée à une tumeur vésicale découverte fortuitement. Le bilan réalisé par la suite révèle un carcinome urothélial non invasif de bas grade.

Avec le développement de l’échographie au lit du malade, la découverte d’incidentalomes vésicaux n’est pas rare et s’avère souvent être d’origine tumorale. Dans une étude rétrospective portant sur 501 patient·es atteint·es de cancer de la vessie (entre 2013 et 2021) 28,5% des cas ont été découverts fortuitement par échographie, avec une prédominance marquée des tumeurs de bas grade. Le diagnostic fortuit était significativement associé à des stades et grades tumoraux plus faibles, alors que seulement 19,8% des cancers de haut grade étaient détectés de manière accidentelle. Les cancers invasifs ou métastatiques de haut grade avaient trois fois moins de chances d'être diagnostiqués fortuitement que les tumeurs non invasives (odds ratio : 0.31, IC 95% : 0.14-0.71, p = 0.006).

Chez ce patient, aucun traitement oncologique n’a été entrepris et seul un contrôle endoscopique a été proposé à 3 mois d’évolution.

Image proposée par l'Hôpital de la Tour.