Image
Invagination iléo-caecale
08.05.2025

Ce n'est pas toujours une appendicite !

Patiente de 32 ans, en bonne santé habituelle, sans antécédents chirurgicaux ou digestifs, se présente aux urgences pour des douleurs abdominales crampiformes, intermittentes, localisées dans l’hémi-abdomen inférieur, évoluant depuis 3 jours. Sont associés un épisode de diarrhée et de vomissement ainsi qu’une sensation fébrile apparue depuis 24 heures.

À l’examen clinique, les bruits intestinaux sont de tonalité et de fréquence normales. On note une défense en fosse iliaque droite avec un point de McBurney positif, et un signe du psoas sensible, sans signes de péritonisme. Le signe de Murphy est négatif. Les examens biologiques révèlent une leucocytose à 16 G/L sans élévation de la CRP. Les paramètres hépatiques et la fonction rénale sont dans les normes.

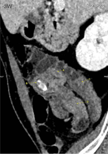
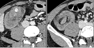
Le CT scanner abdominal montre une invagination iléo-cæcale sur environ 8 cm, sans signe de souffrance intestinale (absence de pneumatose pariétale ou de liquide libre). La valve iléo-cæcale présente un épaississement circonférentiel discrètement irrégulier, accompagné d’une calcification de 17 mm (stercolithe). L’appendice est non distendu, et aucune adénomégalie suspecte n’est observée.

Coupe transverse


La patiente est hospitalisée dans le service de chirurgie où elle bénéficie d’une hémicolectomie droite par laparoscopie avec anastomose iléo-transverse latéro-latérale. L’évolution clinique est favorable, permettant un retour à domicile au 4ᵉ jour post-opératoire. L’analyse anatomopathologique du segment iléo-cæcal réséqué a mis en évidence une invagination appendiculaire avec des remaniements inflammatoires étendus et une suppuration sans signe d’inflammation spécifique, de granulome, de dysplasie ou de malignité.

L'invagination iléo-cæcale chez l'adulte est une affection rare, représentant environ 1 à 5 % des cas d'occlusion intestinale. Contrairement à l'enfant, où l'origine est majoritairement idiopathique, elle est presque toujours secondaire chez l'adulte, avec une lésion organique sous-jacente identifiée dans 70 à 90 % des cas. Ces lésions incluent des tumeurs bénignes (lipomes, polypes) et malignes (adénocarcinomes, lymphomes), qui agissent comme un point de traction, entraînant un phénomène d'invagination. Ce processus provoque une compression vasculaire mésentérique, pouvant conduire à une ischémie ou une nécrose intestinale si la prise en charge est retardée.

Les symptômes sont souvent aspécifiques, ce qui complique le diagnostic. Les patients peuvent se plaindre de douleurs abdominales intermittentes, de nausées, de vomissements ou présenter un tableau d’occlusion intestinale aiguë dans les formes avancées. Une hématochézie peut également survenir, bien que moins fréquente. Le diagnostic repose principalement sur l'imagerie. Le scanner abdominal est l'examen de choix, avec une sensibilité dépassant 90%, montrant des images caractéristiques en "cible ou donut" ou en "sandwich" selon l’orientation de la coupe. L'échographie, bien que moins fréquemment utilisée chez l'adulte, peut révéler des signes similaires. La coloscopie est utile pour identifier une éventuelle lésion tumorale.

Le traitement est essentiellement chirurgical. La laparoscopie est de plus en plus privilégiée, permettant à la fois une exploration diagnostique et une prise en charge thérapeutique. Une réduction manuelle peut être réalisée si l'invagination est bénigne et sans complications. Cependant, une résection segmentaire est souvent nécessaire en cas de suspicion de malignité. Le pronostic dépend de la nature de la lésion sous-jacente.

Cette présentation souligne l'importance du diagnostic précoce et d'une prise en charge adaptée pour limiter les complications.

Image proposée par RHNe Neuchâtel.

Coupe transverse


La patiente est hospitalisée dans le service de chirurgie où elle bénéficie d’une hémicolectomie droite par laparoscopie avec anastomose iléo-transverse latéro-latérale. L’évolution clinique est favorable, permettant un retour à domicile au 4ᵉ jour post-opératoire. L’analyse anatomopathologique du segment iléo-cæcal réséqué a mis en évidence une invagination appendiculaire avec des remaniements inflammatoires étendus et une suppuration sans signe d’inflammation spécifique, de granulome, de dysplasie ou de malignité.

L'invagination iléo-cæcale chez l'adulte est une affection rare, représentant environ 1 à 5 % des cas d'occlusion intestinale. Contrairement à l'enfant, où l'origine est majoritairement idiopathique, elle est presque toujours secondaire chez l'adulte, avec une lésion organique sous-jacente identifiée dans 70 à 90 % des cas. Ces lésions incluent des tumeurs bénignes (lipomes, polypes) et malignes (adénocarcinomes, lymphomes), qui agissent comme un point de traction, entraînant un phénomène d'invagination. Ce processus provoque une compression vasculaire mésentérique, pouvant conduire à une ischémie ou une nécrose intestinale si la prise en charge est retardée.

Les symptômes sont souvent aspécifiques, ce qui complique le diagnostic. Les patients peuvent se plaindre de douleurs abdominales intermittentes, de nausées, de vomissements ou présenter un tableau d’occlusion intestinale aiguë dans les formes avancées. Une hématochézie peut également survenir, bien que moins fréquente. Le diagnostic repose principalement sur l'imagerie. Le scanner abdominal est l'examen de choix, avec une sensibilité dépassant 90%, montrant des images caractéristiques en "cible ou donut" ou en "sandwich" selon l’orientation de la coupe. L'échographie, bien que moins fréquemment utilisée chez l'adulte, peut révéler des signes similaires. La coloscopie est utile pour identifier une éventuelle lésion tumorale.

Le traitement est essentiellement chirurgical. La laparoscopie est de plus en plus privilégiée, permettant à la fois une exploration diagnostique et une prise en charge thérapeutique. Une réduction manuelle peut être réalisée si l'invagination est bénigne et sans complications. Cependant, une résection segmentaire est souvent nécessaire en cas de suspicion de malignité. Le pronostic dépend de la nature de la lésion sous-jacente.

Cette présentation souligne l'importance du diagnostic précoce et d'une prise en charge adaptée pour limiter les complications.

Image proposée par RHNe Neuchâtel.