Quiz
Question n° 15
05.12.2022

Une patiente, résidente en foyer, présente une toux avec état fébrile depuis quelques jours, avec apparition le jour de son admission d’une dyspnée aiguë avec des troubles de l’état de conscience.

A l’arrivée sur site de l’équipe préhospitalière, ses signes vitaux sont :
- TA 150/90 mmHg
- FC 110/​min
- SatO2 70% AA qui remonte à 85% sous masque O2 haute concentration
- FR à 40/​min avec respiration superficielle.

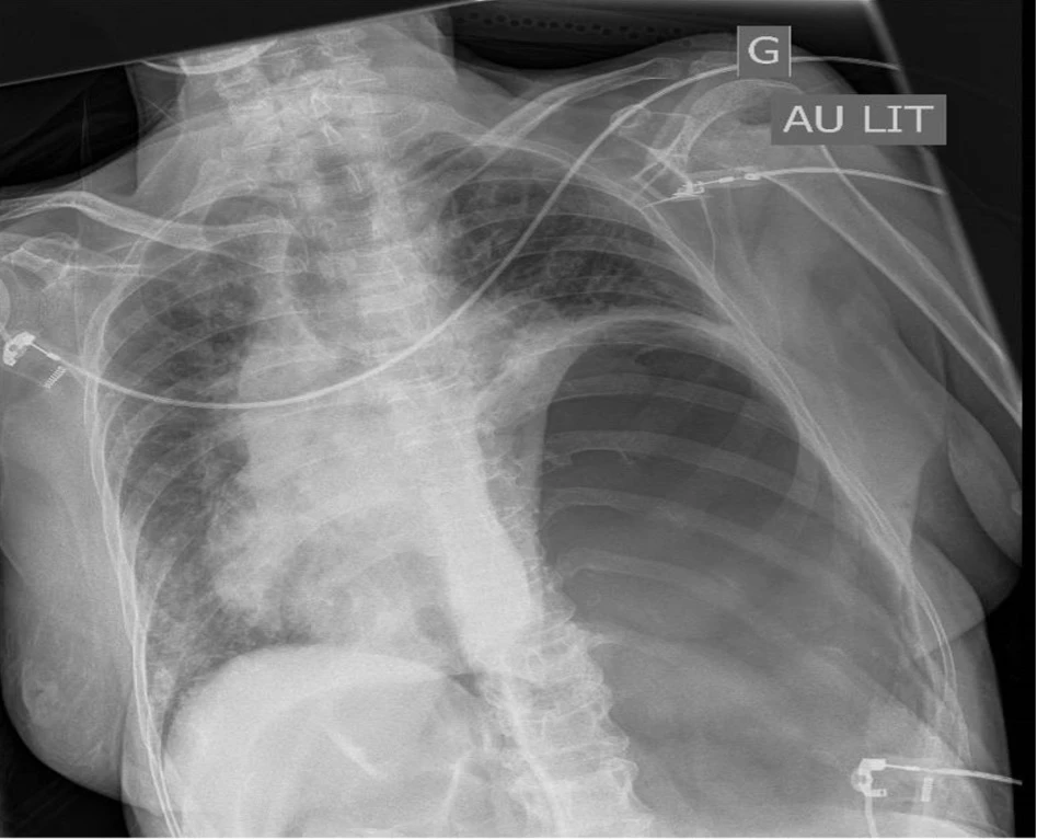
Elle bénéficie de ventilation assistée au ballon durant son transport au déchoquage. La radiographie de thorax au déchocage est la suivante. 

Quel est ton diagnostic ?