Quiz
Question n° 35
30.04.2023

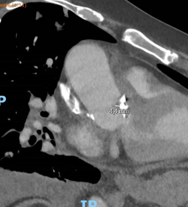
Un patient de 64 ans, connu pour un diabète de type 2 NIR et une HTA, est amené aux urgences pour un état de choc. Il se plaint d’une baisse d’état général associée à une dyspnée d’effort depuis plusieurs jours. A son arrivée, il est hypotendu, tachycarde et fébrile. Le status met en évidence un souffle épigastrique connu.

Le laboratoire montre un syndrome inflammatoire, une IRA ainsi qu’une hyperlactatémie à la gazométrie. La radiographie du thorax est sans particularité. Après quelques heures, les hémocultures sont positives pour un bacille Gram négatif. 

Quelle investigation fais-tu en priorité ?