Quiz
Question n° 27
05.03.2023

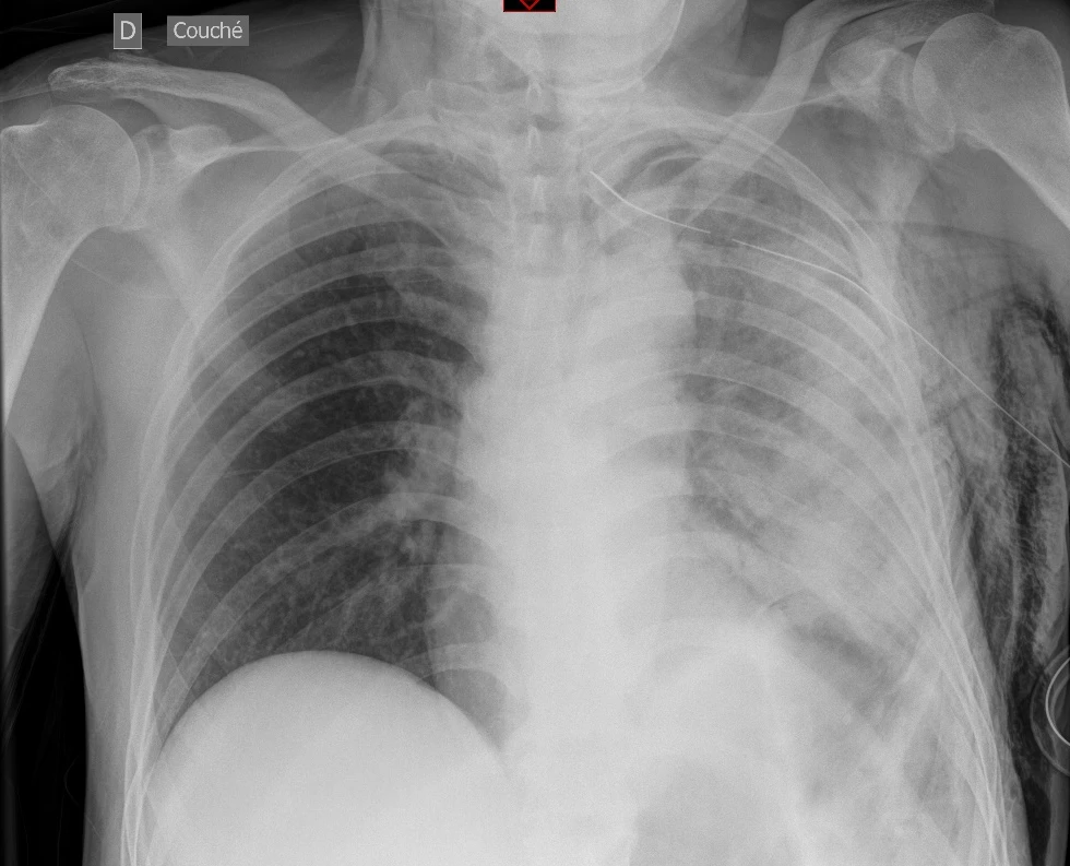
Peu de temps après avoir mis en place un drain thoracique à un jeune patient de 32 ans souffrant d’un premier épisode de pneumothorax spontané primaire, tu constates qu’il développe une tachypnée avec une désaturation à 85% à l’air ambiant et une douleur respiro-dépendante.

Après avoir mis en place un masque à oxygène à haute concentration, le patient reste tachypnéique à 25/​min avec une saturation à 91%.

Tu effectues une radiographie du thorax :

Quelle affirmation est correcte ?