Quiz
Question n° 7
10.10.2022

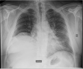
Un patient de 72 ans consulte pour une dyspnée aiguë de stade NYHA II apparue quelques jours après une chirurgie thoracique. Le patient est sous anticoagulation prophylactique. Dans ses antécédents, il a eu un AVP à l’âge de 20 ans, pour lequel il a été longtemps hospitalisé. Il n’a pas de traitement habituel.

Que montre sa radiographie thoracique ?