19.05.2025
Une patiente de 44 ans suivie pour une maladie de Cacchi-Ricci avec antécédents de lithiase rénale récidivante consulte pour une nouvelle douleur aiguë du flanc gauche à début brutal à 11h irradiant vers la fosse iliaque gauche, associée à une pollakiurie sans hématurie macroscopique. Auto-administration d'ibuprofène 400mg puis de tramadol 50mg. Antécédents d'HTA, hypercholestérolémie et allergie aux produits de contraste iodés. Traitement habituel par candésartan et fluoxétine.
L’examen clinique retrouve une patiente algique (EVA 9/10), aux constantes stables (FC 72bpm, 37°C, FR 20/min, SpO₂ 98%), avec une douleur à la palpation de la loge rénale gauche.
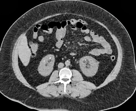
Le scanner révèle la présence d'un calcul mesurant 3 mm localisé au niveau de la jonction urétéro-vésicale gauche avec une dilatation de l'uretère gauche en amont, accompagnée d'une ectasie du bassinet rénal. Par ailleurs, l'examen met en évidence plusieurs calculs caliciels de façon bilatérale, qui ne présentent pas de caractère obstructif. On remarque sur la coupe présenté l’aspect en éponge des calices.

Concernant la maladie de Cacchi-Ricci, quelle affirmation est correcte ?